图片新闻
神经内镜技术切除巨大垂体瘤 助患者快速康复

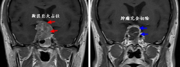
身体一直很健康的李先生最近突然感觉双眼视物模糊,焦急的他去了很多家医院就诊,最终被诊断为颅内巨大垂体瘤,但多位专家会诊后都认为李先生的肿瘤巨大并且压迫视神经,手术全切难度很大。这个结果让李先生更加焦虑了,因为拥有一双明亮眼睛对于职业司机的他是非常重要的。几经辗转,李先生来到了我院神经外科,找到了具有丰富垂体瘤治疗经验的王刚副主任。王刚副主任仔细查看患者检查资料后决定为其进行手术治疗。患者入院后,神经外科肿瘤团队进行了反复讨论。由于李先生的肿瘤巨大、位置特殊,如何能够完全切除肿瘤而又让患者快速康复成为手术治疗难题。如果采用开颅手术方法切除肿瘤创伤将会比较大;如果采用神经内镜经鼻蝶入路进行肿瘤切除患者创伤小、术后恢复快,但是术中操作空间受限,完全切除肿瘤对于术者来说是个极大的挑战。

经过充分的术前准备,在麻醉科、手术室的协作下,王刚副主任为其采用神经内镜技术成功切除了肿瘤,术后李先生视力恢复正常,激素项目检查提示垂体功能正常,复查核磁显示肿瘤全部切除。三天后,李先生就痊愈出院,重新开始了他的正常生活工作。
神经内镜手术具有显著微创性特点,使肿瘤切除过程中对正常脑组织的刺激及应激性降到最低,从而保护了人体正常生理机能。此外,这种微创手术还将有助于减轻手术对患者生理和心理的伤害,缩短了住院时间,节省了医疗费用,这正与当前微创及快速康复神经外科理念相契合。目前,我院神经外科已经利用神经内镜技术多次成功完成复杂疑难垂体瘤切除,标志着我院通过内镜治疗垂体瘤的技术已逐步成熟,并已达到国内先进水平。潞河神经外科团队会不断努力,服务患者,造福百姓!

























